Skip to content Skip to sidebar Skip to footer

Como Es Un Saco Gestacional

O Que E Saco Gestacional Almanaque Dos Pais

O Que E Saco Gestacional Almanaque Dos Pais

Como es un saco gestacional. En nuestras clínicas de aborto en México DF realizamos abortos de hasta 12 semanas siendo habituales los de 7 semanas 6 y 5. O saco gestacional é a primeira estrutura formada no início da gravidez que envolve e abriga o bebê podendo ser visualizado por ultrassom após a 4ª semana. Forma redonda o elíptica en las vistas longitudinales y transversales.

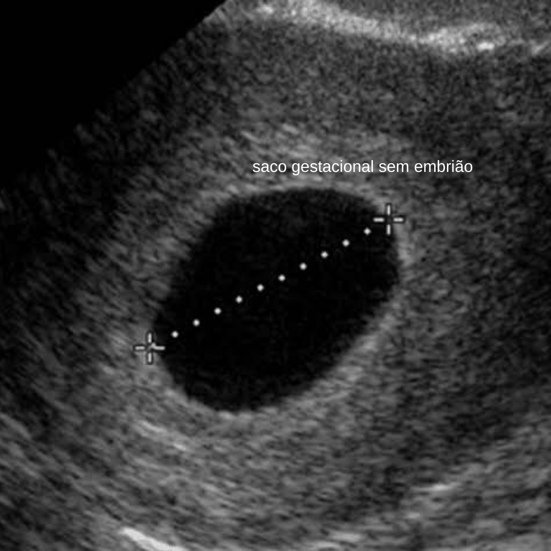
Es en este momento ecográfico donde se encuentra un saco gestacional un trofoblasto pero no se identifica ningún embrión. El tratamiento suele ser un legrado farmacológico o quirúrgico. Suele crecer un milímetros por día.

El saco gestacional es la primera estructura que buscará tu médico en una ecografía temprana. El saco gestacional es una estructura muy importante para el embarazo ya que dentro de él se aloja tanto al bebé como al líquido amniótico que lo rodea. En la imagen se observarán como dos aros concéntricos situados en el interior del útero.

Aparece como una pequeña esfera de líquido con los bordes muy marcados en el espesor del endometrio. Saco gestacional es de fondo uterino. Al igual que el útero este tiene una gran capacidad de expansión o elasticidad que alcanza su máximo alrededor de la semana 35-37 de embarazo.

Sac no es directamente línea media pero implantado excéntricamente. Sí es un problema muy frecuente. Es un problema frecuente.

Entenda o que é o saco gestacional o tamanho normal para cada semana e os problemas que podem surgir. El embarazo anembrionario es un problema por el cual el óvulo fertilizado se implanta en el útero y desarrolla un saco gestacional que no alberga ningún embrión en su interior. Se caracteriza por un saco gestacional de apariencia normal pero con ausencia de embrión.

El tamaño del saco gestacional se puede determinar midiendo el diámetro más grande o la media de tres diámetros. Es la primera estructura detectable por ecografía es el saco gestacional.

8 E 9 Semanas De Gestacao So Vi O Saco Gestacional Gravidez Anembrionada Youtube

8 E 9 Semanas De Gestacao So Vi O Saco Gestacional Gravidez Anembrionada Youtube

Descolamento Do Saco Gestacional O Que Voce Precisa Saber

Descolamento Do Saco Gestacional O Que Voce Precisa Saber

Las Caracteristicas Normales De Un Saco Gestacional Diplomadomedico Com

Las Caracteristicas Normales De Un Saco Gestacional Diplomadomedico Com

Saco Gestacional O Que E Quando Se Forma E Problemas Comuns Ms

Saco Gestacional O Que E Quando Se Forma E Problemas Comuns Ms

O Que E E Quanto E Que O Saco Gestacional Mede Durante Semanas Com Infograficos Familia Blog

O Que E E Quanto E Que O Saco Gestacional Mede Durante Semanas Com Infograficos Familia Blog

Ecografia Transvaginal A Saco Gestacional De 0 4 Cm Y Una Longitud Download Scientific Diagram

Ecografia Transvaginal A Saco Gestacional De 0 4 Cm Y Una Longitud Download Scientific Diagram

Saco Gestacional Irregular Agosto De 2018 Babycenter

Saco Gestacional Irregular Agosto De 2018 Babycenter

Descolamento Do Saco Gestacional O Que Voce Precisa Saber

Descolamento Do Saco Gestacional O Que Voce Precisa Saber

Ultrassom Trimestre 1 Saco Gestacional Materno Fetal

Ultrassom Trimestre 1 Saco Gestacional Materno Fetal

Saco Gestacional Aborto Aborto Espontaneo Babycenter

Saco Gestacional Aborto Aborto Espontaneo Babycenter

Sinais Ultrassonograficos De Gestacao Anembrionada A Saco Gestacional Download Scientific Diagram

Sinais Ultrassonograficos De Gestacao Anembrionada A Saco Gestacional Download Scientific Diagram

Susto So Vimos O Saco Gestacional Youtube

Susto So Vimos O Saco Gestacional Youtube

Diagnostico Por Imagenes Medico Odontologico Diamep Saco Gestacional De 5 5 Semanas Facebook

Diagnostico Por Imagenes Medico Odontologico Diamep Saco Gestacional De 5 5 Semanas Facebook

4 Semanas Apenas O Saco Gestacional Tentando Engravidar Principal Babycenter

4 Semanas Apenas O Saco Gestacional Tentando Engravidar Principal Babycenter

O Que E Saco Gestacional E Qual O Tamanho Correto Para A Gravidez Trocandofraldas Com Br

O Que E Saco Gestacional E Qual O Tamanho Correto Para A Gravidez Trocandofraldas Com Br

Saco Gestacional Sg Por Wantbaby Info

Saco Gestacional Sg Por Wantbaby Info

Trocando Fraldas Informacao Importante Qualquer Mulher Gravida Fica Apavorada De Ouvir Essas Quatro Palavras Pronunciadas Em Conjunto Descolamento Do Saco Gestacional O Saco Gestacional E O Local Onde O

Trocando Fraldas Informacao Importante Qualquer Mulher Gravida Fica Apavorada De Ouvir Essas Quatro Palavras Pronunciadas Em Conjunto Descolamento Do Saco Gestacional O Saco Gestacional E O Local Onde O

Gravidez Anembrionaria O Que E Causa E Prevencao

Gravidez Anembrionaria O Que E Causa E Prevencao

Tipos De Aborto Segun Saco Gestacional

Tipos De Aborto Segun Saco Gestacional

Saco Gestacional Ultrasonido Ecografia Saco Gestacional Embarazo Primer Trimestre Youtube

Saco Gestacional Ultrasonido Ecografia Saco Gestacional Embarazo Primer Trimestre Youtube

O Que E Saco Gestacional Almanaque Dos Pais

O Que E Saco Gestacional Almanaque Dos Pais

Saco Vitelinico O Que E E Qual A Importancia Trocando Fraldas

Saco Vitelinico O Que E E Qual A Importancia Trocando Fraldas

Saco Gestacional Mamas Y Bebes Webmediums

Saco Gestacional Mamas Y Bebes Webmediums

Saco Gestacional

Saco Gestacional

Saco Gestacional O Que E Qual O Tamanho E Problemas Comuns Tudo Sobre Medicina

Saco Gestacional O Que E Qual O Tamanho E Problemas Comuns Tudo Sobre Medicina

Radiologia Brasileira Anormalidades Do Primeiro Trimestre Da Gravidez Ensaio Iconografico

Radiologia Brasileira Anormalidades Do Primeiro Trimestre Da Gravidez Ensaio Iconografico

Cuando Se Puede Ver El Saco Gestacional Club Familias

Cuando Se Puede Ver El Saco Gestacional Club Familias

Que Es El Saco Gestional Cuanto Mide Por Semanas

Que Es El Saco Gestional Cuanto Mide Por Semanas

Saco Gestacional Irregular 6 Semanas Saco Gestacional Irregular Babycenter

Saco Gestacional Irregular 6 Semanas Saco Gestacional Irregular Babycenter

Descolamento Do Saco Gestacional Contratempos Na Gravidez

Descolamento Do Saco Gestacional Contratempos Na Gravidez

Sinais Ultrassonograficos De Gestacao Anembrionada A Saco Gestacional Download Scientific Diagram

Sinais Ultrassonograficos De Gestacao Anembrionada A Saco Gestacional Download Scientific Diagram

Universo Do Cuidado

Universo Do Cuidado

Que Es Y Cuanto Mide El Saco Gestacional Por Semanas Con Infografias Mi Bebe Y Yo

Que Es Y Cuanto Mide El Saco Gestacional Por Semanas Con Infografias Mi Bebe Y Yo

Que Es El Embarazo Anembrionario Deteccion Y Tratamiento

Que Es El Embarazo Anembrionario Deteccion Y Tratamiento

Saco Gestacional Vazio Ou Irregular Expelido Tabela De Tamanho E Idade

Saco Gestacional Vazio Ou Irregular Expelido Tabela De Tamanho E Idade

Saco Gestacional O Que E Qual O Tamanho E Problemas Comuns Tua Saude

Saco Gestacional O Que E Qual O Tamanho E Problemas Comuns Tua Saude

Saco Gestacional Teste De Gravidez

Saco Gestacional Teste De Gravidez

Scielo Brasil Tratamento De Gestacao Cervical Viavel Com Aplicacao Intra Amniotica De Metotrexato Relato De Um Caso Tratamento De Gestacao Cervical Viavel Com Aplicacao Intra Amniotica De Metotrexato Relato De Um Caso

Scielo Brasil Tratamento De Gestacao Cervical Viavel Com Aplicacao Intra Amniotica De Metotrexato Relato De Um Caso Tratamento De Gestacao Cervical Viavel Com Aplicacao Intra Amniotica De Metotrexato Relato De Um Caso

Ultrassonografia Obstetrica Basica Imaginologia

Ultrassonografia Obstetrica Basica Imaginologia

Pode Ser Um Saco Gestacional Sera Que E Gravidez Babycenter

Pode Ser Um Saco Gestacional Sera Que E Gravidez Babycenter

Foto De Desenvolvimento Do Feto Em Um Saco Gestacional Artificial E Mais Fotos De Stock De Falso Istock

Foto De Desenvolvimento Do Feto Em Um Saco Gestacional Artificial E Mais Fotos De Stock De Falso Istock

Ecografia Del Primer Trimestre Saco Gestacional De 4 Seman Flickr

Ecografia Del Primer Trimestre Saco Gestacional De 4 Seman Flickr

A Clinica Biofert Ginecologia E Reproducao Humana Facebook

A Clinica Biofert Ginecologia E Reproducao Humana Facebook

Questao 33 Abc Sp 2018 R1 1

Questao 33 Abc Sp 2018 R1 1

تويتر Mario Luis على تويتر El Saco Gestacional Lo Expulso A Las 3 Horas De Tomar Via Oral Las Primeras 4 Pastillas De Miso El Dolor Era Leve Despues De La

تويتر Mario Luis على تويتر El Saco Gestacional Lo Expulso A Las 3 Horas De Tomar Via Oral Las Primeras 4 Pastillas De Miso El Dolor Era Leve Despues De La

Clinica Biofert A Clinica De Reproducao Humana

Clinica Biofert A Clinica De Reproducao Humana

Radiologia Brasileira Anormalidades Do Primeiro Trimestre Da Gravidez Ensaio Iconografico

Radiologia Brasileira Anormalidades Do Primeiro Trimestre Da Gravidez Ensaio Iconografico

Descolamento Do Saco Gestacional Contratempos Na Gravidez

Descolamento Do Saco Gestacional Contratempos Na Gravidez

Saco Gestacional

Saco Gestacional

En algunos casos no se ve ningún saco.

El saco gestacional alberga líquido amniótico y al bebé. Habitualmente puede verse el saco gestacional desde la cuarta semana. En la imagen se observarán como dos aros concéntricos situados en el interior del útero. Es en este momento ecográfico donde se encuentra un saco gestacional un trofoblasto pero no se identifica ningún embrión. Hola amigos el año pasado tuve un embarazo anembrionario tenia 8 semanas cuando me lo diagnosticaron por lo q tuvieron realizarme un legrado el cual fue muy doloroso tanto físicamente como psicologicamenteespere 6 meses para volver a embarazarme meses en los que me cuide y tome ácido cólico de 5después de dos meses sin pastillaslogre. En cambio la enfermedad molar es una tumoración de la placenta. Suele crecer un milímetros por día. El saco gestacional es la primera estructura que buscará tu médico en una ecografía temprana. Cuánto Dura un Embarazo Anembrionario.


En palabras más simples es como si fuera un embarazo sin bebé. Con los ecógrafos más potentes y en condiciones favorables tu ginecólogo podrá verlo a través de una ecografía vaginal a partir de la semana cinco. Sac no es directamente línea media pero implantado excéntricamente. Habitualmente puede verse el saco gestacional desde la cuarta semana. Es por tal motivo que una mujer con un test de embarazo positivo y presencia de un saco gestacional intrauterino observado con un ultrasonido transvaginal es indicativo de presencia de un embarazo por lo que el riesgo de encontrar un saco seudogestacional o un quiste desidual indicativo de un embarazo ectópico es mucho menor. Conozca qué es el saco gestacional el tamaño normal para cada semana y. A gravidez anembrionária acontece quando o óvulo fertilizado se implanta no útero da mulher mas não desenvolve um embrião gerando um saco gestacional vazio.

Post a Comment for "Como Es Un Saco Gestacional"